SPIBO Marketplace is Live Now – Where Buyers meet the Best Vendors. Explore now...

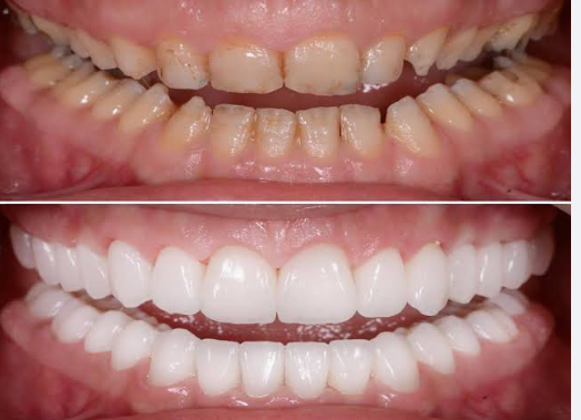
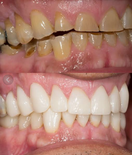
Dental care clinic



Description: Dental care encompasses the practices and procedures aimed at maintaining healthy teeth and gums, including both at-home oral hygiene and professional dental care from a dentist or hygienist.

Provide By: Sakariya dental care

City : N/A

Contact : 9712798474

0.00

5 Star
0%
4 Star
0%
3 Star
0%
2 Star
0%
1 Star
0%

Submit Your Review

Please login to write review!

Upload photos
You can upload up to 60 photos, each photo maximum size is 51200 kilobytes